Kayseri’de gözaltına alınan İranlı şüphelilerin midelerinden uyuşturucu kapsülleri çıktı.
İl Emniyet Müdürlüğü Narkotik Suçlarla Mücadele Şube Müdürlüğü takımları, uyuşturucu ticareti yapan kuryelerin yakalanmasına yönelik çalışma başlattı.
İran asıllı üç şüphelinin yurt dışından Türkiye’ye uyuşturucu getireceği bilgisi alındı.
Şüphelilerin bulunduğu adreslere düzenlenen operasyonla S.C. (41), G.M. (28) ve R.B.C. (35) gözaltına alındı.
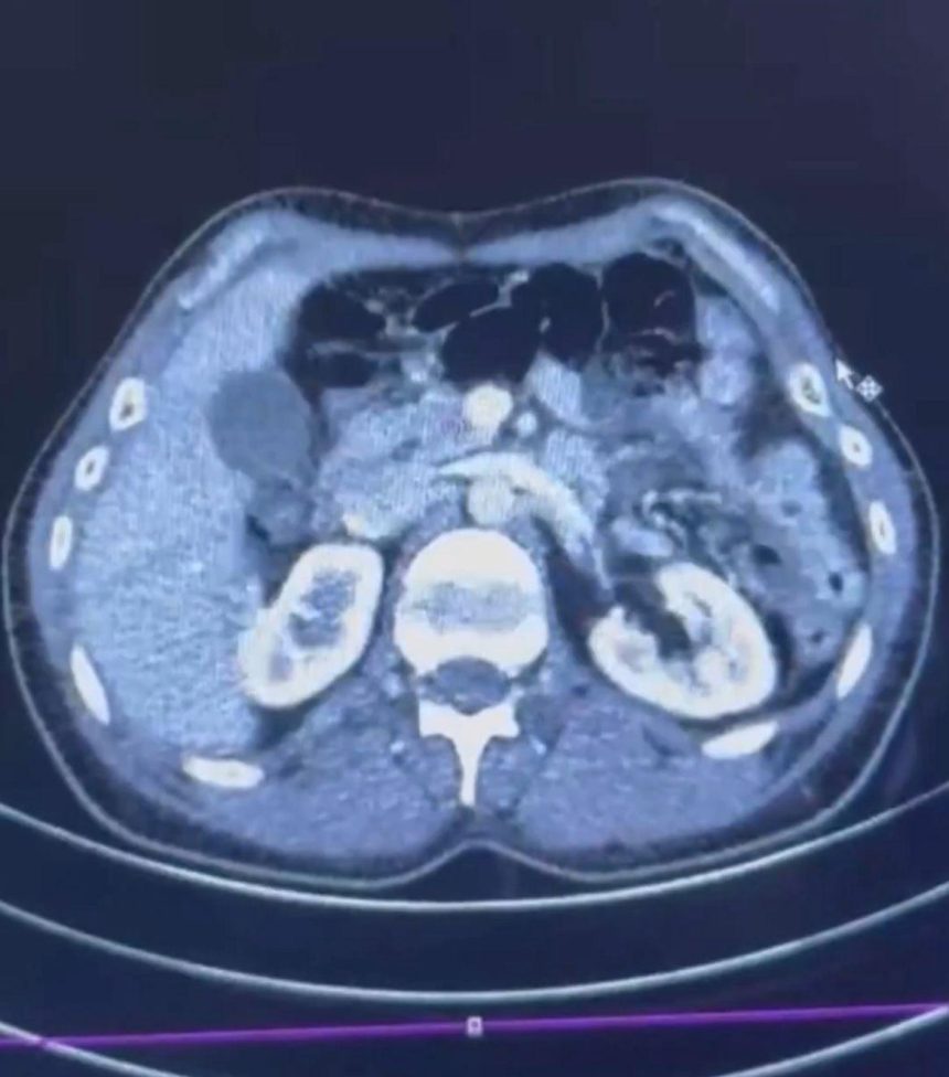
RÖNTGEN ÇEKİLDİ, KAPSÜLLER ORTAYA ÇIKTI
Şüphelilerden S.C. ve R.B.C. muayene edilmek üzere Kayseri Kent Hastanesi’ne getirildi.
Röntgeni ve ultrason çekilen şüphelilerin midesinde yaklaşık 50 kapsülde 554 gram uyuşturucu olduğu tespit edildi.
Uyuşturucular sıhhat takımlarının tedavisiyle çıkarıldı.
Üç şüphelinin emniyetteki süreçleri ise sürüyor.


